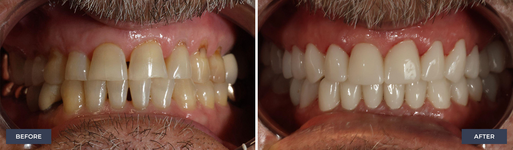
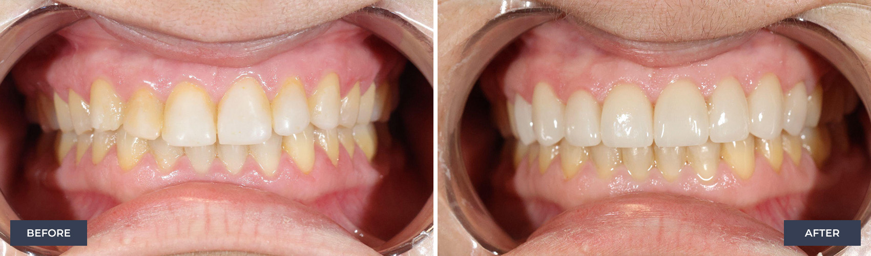
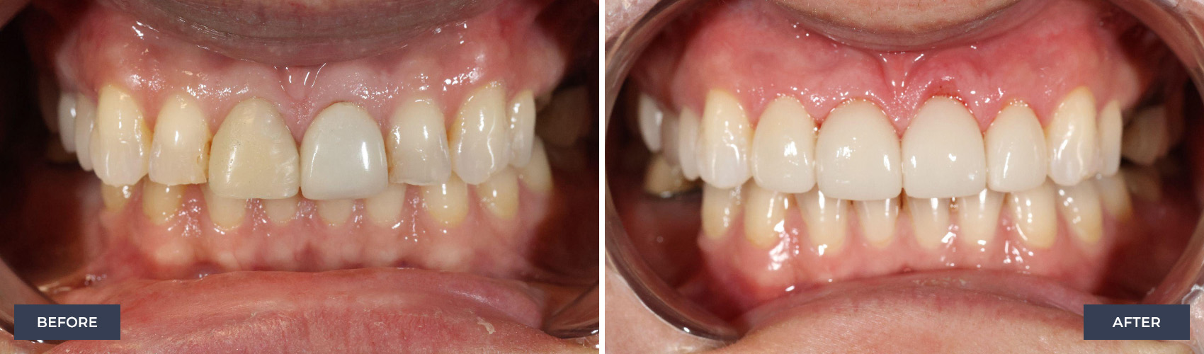
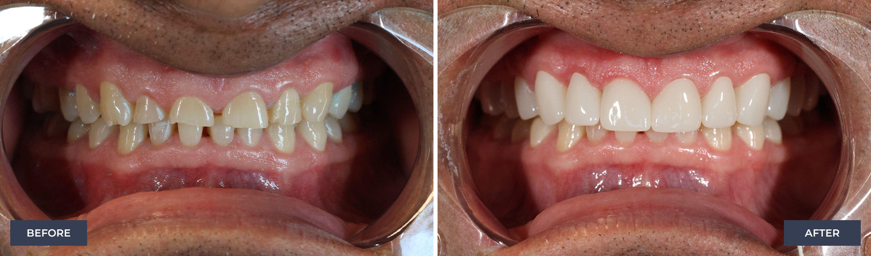
Cosmetic Dentistry in Austin, TX
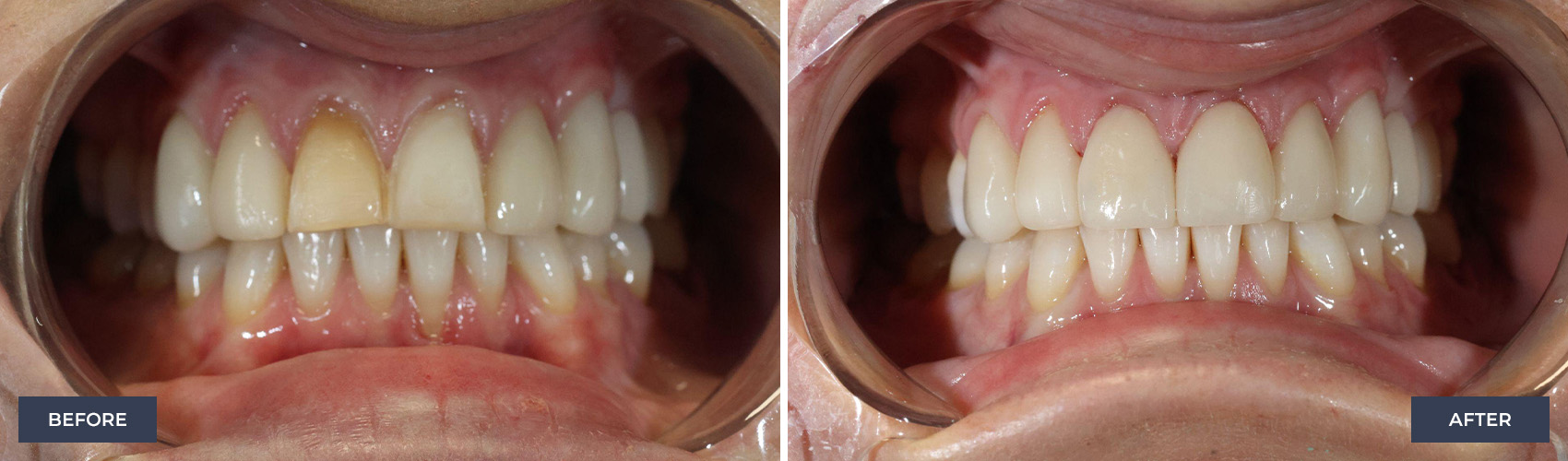
Interested in enhancing the cosmetic appearance of your teeth? Smile Suite offers a range of cosmetic dental services, including professional teeth whitening, veneers, and dental bonding, that are designed to correct cosmetic imperfections and create smiles that patients absolutely adore.
Want to schedule a cosmetic consultation with Dr. Talebloo and our Austin dental team? Please give us a call or submit a message through our contact form, and we will be glad to assist you.
Book Your Free ConsultationWhat does a cosmetic dental consultation include?
A cosmetic dental consultation is the first step in achieving your ideal smile. During your visit, we will discuss your goals, assess your teeth and gums, and take digital X-rays or impressions, if needed. We’ll review your potential treatment options, explaining what each can do for your smile. You’ll also receive a personalized plan with cost estimates and timelines. Our goal is to create a custom treatment plan for your most confident, natural-looking smile!
Should I get dental bonding, crowns, or veneers?
There are many factors at play when it comes to this type of query. Dental bonding is great for small chips, cracks, or minor discoloration and is a quick, affordable solution. Veneers are thin porcelain shells that cover the front of teeth, perfect for a full smile makeover. Crowns are best for severely damaged or weakened teeth, restoring both strength and aesthetics. During your consultation, we’ll help you decide which treatment suits your goals and dental health.
Will cosmetic dental treatments make my teeth look unnatural?
Not at all! Modern cosmetic dentistry focuses on natural-looking results. We customize our cosmetic treatments to match your tooth shape, size, and color for a seamless blend. Advances in dental materials also ensure that restorations mimic the translucency and texture of real teeth. Whether you’re whitening your smile or getting veneers, our goal is to enhance your natural beauty—not create an artificial look.
Can I schedule a cosmetic service if I have sensitive teeth?
Many cosmetic treatments can be tailored for patients with sensitive teeth. Options like bonding, veneers, and crowns can actually help protect sensitive areas. For teeth whitening, we offer professional solutions that minimize discomfort compared to over-the-counter products. During your consultation, we’ll discuss your sensitivity concerns and recommend the safest and most comfortable treatment for your smile.
CONTACT US








